Ещё
Открытия российских ученых
Дискуссионный клуб
Медицина
Войти
Новости
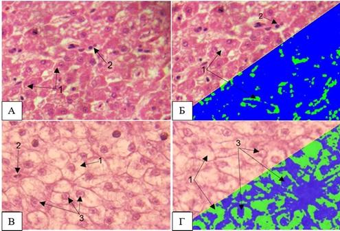
Наночастицы из фосфата церия помогут лечить трудно заживающие раны
01 ноября, 19:01
Добавка из празеодима позволила селенидному стекловолокну испускать лазерное излучение в ранее недоступном диапазоне
01 ноября, 15:17
Обоснована новая методология синтеза ваза-подобных микрокапсул
01 ноября, 08:26
Ученые создали компактные разветвители сигналов для систем связи нового поколения
30 октября, 18:02
Ученые создали компактные разветвители сигналов для систем связи нового поколения
30 октября, 17:50
Ученые нашли потенциальные мишени для борьбы с метаболическим синдромом
30 октября, 12:25
Найдена причина агрессивности опухолей головного мозга
29 октября, 09:23
Созданы более яркие белки–сенсоры для исследования активности головного мозга и сердца
28 октября, 21:24
Создан новый тип клеточного биосенсора пероксида водорода с возможностью выбора цвета флуоресценции
28 октября, 20:46
Опубликована архитектура деловой программы V Конгресса молодых ученых
28 октября, 17:42
Ученые оценили выбросы метана с заброшенного торфяника
28 октября, 07:54
Содержащее минеральные нанотрубки покрытие повысит срок службы биоразлагаемых имплантатов
27 октября, 11:08
Реставраторы Новгородского музея подтвердили подлинность иконы Николы Корельского
27 октября, 09:29
Объявлены победители научно-просветительского конкурса «Научная Вселенная»
24 октября, 20:30
Разработаны перспективные люминесцентные материалы с противоопухолевой активностью
23 октября, 08:45
Мерянский топор X века найден под Ростовом Великим
23 октября, 05:44
Ученые создали перовскитный мемристор, выдерживающий более 1500 циклов перезаписи
22 октября, 17:47
Ученые «расширили» ареал редкого ветвистоусого рачка
22 октября, 17:15
Ученые нашли способ стерилизовать умные имплантаты бета-излучением
21 октября, 10:58
Данные о биооптических свойствах бассейна Волги позволят создать систему для спутникового экологического мониторинга
20 октября, 18:06
Объявление об открытом публичном конкурсе на получение грантов Российского научного фонда по мероприятию «Проведение фундаментальных научных исследований и поисковых научных исследований международными научными коллективами» приоритетного направления деятельности Российского научного фонда «Поддержка проведения научных исследований и развития научных коллективов, занимающих лидирующие позиции в определенных областях науки
20 октября, 17:02
Созданы новые управляемые светом соединения, потенциально полезные для терапии нейродегенеративных заболеваний
20 октября, 07:06
Биохимики расшифровали структуру светособирающих комплексов цианобактерий возрастом более 2 миллиардов лет
18 октября, 10:57
Биосенсоры с расширенным рабочим диапазоном ускорят разработку отечественного непрерывного датчика глюкозы
17 октября, 19:14
Названы победители литературной премии в области медицины «Здравомыслие»
17 октября, 18:57
Ученые описали плюсы и минусы разных методов получения ценных соединений из микроводорослей
17 октября, 15:23
«Панцирные» водоросли рассказали об изменении водных экосистем в позднеледниковье
16 октября, 11:03
Первая
645 из 653
Последняя