indicator.ru
Ещё
Открытия российских ученых
Дискуссионный клуб
Медицина
Главное
Профессорские разговоры. Выпуск 1. Юлия Баимова: «Надо быть в топе»
Как инженер физик из Уфы пришла в графен, сверхпластичность и нейронаучпоп
Химия и науки о материалах
Век живых систем: почему будущее технологий определяется нейронауками
Биология
Андрей Блинов: «Институт квалифицированного заказчика в России сейчас в стадии развития»
Гуманитарные науки
Новости
16:50
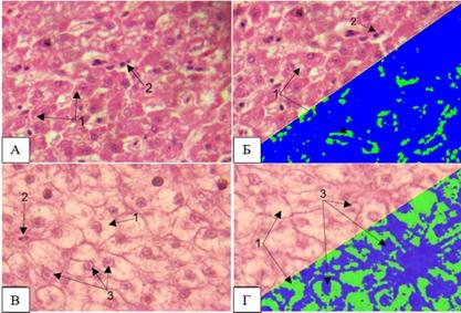
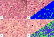
Новый люминесцентный материал позволит глубже заглянуть в живые ткани для медицинской диагностики
19:36
РНФ объявляет конкурс проектов ориентированных и прикладных научных исследований в рамках национального проекта по обеспечению технологического лидерства «Средства производства и автоматизации»
19:27
РНФ объявляет конкурс прикладных исследований в рамках национального проекта по обеспечению технологического лидерства «Новые материалы и химия» с участием регионов России
08:18
Ученые выяснили, почему у мышей с моделью аутизма снижена способность к обучению
08:14
В Великом Новгороде обнаружили «матушкину плётку» XII века
11:28
Открыт прием заявок на третий совместный конкурс РНФ и Национального научного фонда Ирана (INSF)
Дискуссионный клуб
Анатомия одного фейка
07 марта 2025, 04:28
Сленг в социальных сетях: как понять и почему он важен для языка
Гуманитарные науки
«Главный совет — не бояться и верить в себя»
Математика и Computer Science
ВЭФ-2024: как развивать высшее образование на Дальнем Востоке
Гуманитарные науки
Юбилейный форум МААН: больше, чем СНГ. Прямая речь
Гуманитарные науки
События
12 января 16:30-18:30
Научный метод
Как находить лучшие решения в жизни
ЛекцияМатематика и Computer Science
13 января 16:30-18:00
Беспозвоночные
ЛекцияБиология
14 января 17:00-19:00
Неправильные названия рыб на нашем рынке
ЛекцияСельское хозяйство
16 января 14:00-16:00
Тайны чумного доктора
ЭкскурсияМедицина
16 января 17:00-19:00
Новости астрономии
ЛекцияАстрономия
Фото дня
07/09/25
Началось!
Астрономия
Читайте также
Ученые выяснили, почему у мышей с моделью аутизма снижена способность к обучению
В Великом Новгороде обнаружили «матушкину плётку» XII века
РНФ объявляет конкурс проектов ориентированных и прикладных научных исследований в рамках национального проекта по обеспечению технологического лидерства «Средства производства и автоматизации»
Новый люминесцентный материал позволит глубже заглянуть в живые ткани для медицинской диагностики
РНФ объявляет конкурс прикладных исследований в рамках национального проекта по обеспечению технологического лидерства «Новые материалы и химия» с участием регионов России

Медицина

Ученые выяснили, почему у мышей с моделью аутизма снижена способность к обучению
09:23
08 апреля
Ученые обнаружили ранее неизвестный эффект у популярного противоопухолевого препарата
17:05
06 апреля
Российские ученые сравнили адамантан и бороводородный кластер в борьбе с современными штаммами вируса гриппа А
10:30
01 апреля
Новый бесконтактный метод исследования сосудов способен «увидеть» работу глубоких артерий мозга

Астрономия

Стартовала первая за полвека пилотируемая миссия к Луне
07:18
31 марта
Уральские астрохимики создали спектральную библиотеку для анализа данных крупнейшего космического телескопа
06:09
24 марта
На орбиту выведены первые 16 спутников группировки "Рассвет"
12:18
22 марта
«Прогресс МС-33» успешно стартовал к МКС

Биология

Век живых систем: почему будущее технологий определяется нейронауками
05:45
31 марта
Исследование древнего индивида из Переславля-Залесского указало на его генетически смешанное происхождение
11:21
24 марта
«Не пара»: бокоплавы оказались способны полностью истребить веслоногих рачков в соленых озерах
06:53
20 марта
Ученые составили библиотеку ДНК-штрихкодов для рыб бассейна Волги и обнаружили новые виды

Гуманитарные науки

РНФ объявляет конкурс проектов ориентированных и прикладных научных исследований в рамках национального проекта по обеспечению технологического лидерства «Средства производства и автоматизации»
19:27
09 апреля
РНФ объявляет конкурс прикладных исследований в рамках национального проекта по обеспечению технологического лидерства «Новые материалы и химия» с участием регионов России
08:14
09 апреля
В Великом Новгороде обнаружили «матушкину плётку» XII века
11:28
08 апреля
Открыт прием заявок на третий совместный конкурс РНФ и Национального научного фонда Ирана (INSF)

Математика и CS

Предложен новый подход к управлению сетевым трафиком
04:29
10 марта
Решена открытая задача теории кодирования, важная для квантовых компьютеров
12:48
26 января
Использование ЦФА для привлечения финансирования в инфраструктурные проекты
08:25
20 ноября
Новый алгоритм позволит предсказать еще не известные белки-мишени для лечения болезни Альцгеймера

Науки о Земле

Ученые реконструировали климат юга Сибири за последние 2500 лет по озерным отложениям
06:03
17 марта
Почвы у ледников Кавказа оказались загрязнены тяжелыми металлами из-за активного туризма
07:51
12 марта
Химический состав снега поможет оценить динамику загрязненности воздуха в промышленных городах
07:53
11 марта
Ученые раскрыли причины различий почвообразовательных процессов на верхнем пределе лесов на Алтае

Сельское хозяйство

Учёные удвоили количество зёрен в колосе пшеницы с помощью геномного редактирования
17:02
16 февраля
Без антибиотиков: небольшое количество пищевой добавки из сибирской лиственницы ускорило рост цыплят-бройлеров
11:47
20 января
Ученые создали прототип вакцины для защиты птиц от активно распространяющегося вируса гриппа H5N1
10:43
04 декабря
Биологи нашли способ эффективно выращивать насекомых-защитников растений в лаборатории

Технические науки

Зарплаты ИТ-специалистов различались в зависимости от города и наличия управленческих и «мягких» навыков
07:45
01 апреля
В Москве вручат премию ученым, разработчикам и технологическим предпринимателям
13:56
27 марта
Виталий Синицын: реализация проекта при поддержке РНФ позволит нам выбиться в мировые технологические лидеры
09:02
10 марта
Участник Сколково запускает тестирование решений для контроля смартфонов в школах

Физика

Физики раскрыли процессы взрывного разрушения тонких металлических катодов во время импульсного разряда в вакууме
11:17
02 апреля
Сформированные лазером наноструктуры из серебра помогут создавать лекарства и сделают фотодетекторы точнее
11:16
30 марта
Светящиеся наночастицы помогут определять температуру работающих микрочипов
07:30
23 марта
Предложен способ сделать полноцветное лазерное освещение

Химия и науки о материалах

Новый люминесцентный материал позволит глубже заглянуть в живые ткани для медицинской диагностики
12:03
03 апреля
Профессорские разговоры. Выпуск 1. Юлия Баимова: «Надо быть в топе»
11:42
03 апреля
Материалы для водородной энергетики можно будет создавать быстрее
09:27
03 апреля
Соединение никеля поможет эффективно превратить тяжелую нефть в легкую
indicator.ru
  • Новости
  • События
  • Фото дня
  • Цифровая энциклопедия
  • Дискуссионный клуб
  • Открытия российских ученых
Редакция
Размещение рекламы
Научным учреждениям
RSS
Правовая информация
Условия использования
Политика конфиденциальности

Indicator, 2026 г. 18+

Нашли опечатку? Выделите текст и нажмите Ctrl+Enter

Телефон редакции: +7 495 785-17-00

Все права защищены. Полное или частичное копирование материалов Сайта в коммерческих целях разрешено только с письменного разрешения владельца Сайта. В случае обнаружения нарушений, виновные лица могут быть привлечены к ответственности в соответствии с действующим законодательством Российской Федерации.
На информационном ресурсе применяются рекомендательные технологии в соответствии с Правилами