Ещё
Открытия российских ученых
Дискуссионный клуб
Медицина
Войти
Новости
У российской и индийской орбитальных станций будет одно наклонение орбиты
05 декабря, 17:09
Ученые определили основные источники озона в воздухе над Челябинском
05 декабря, 15:27
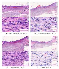
Гель из коллагена и цериевых наночастиц в два раза ускорил заживление глубоких ран
05 декабря, 09:53
Биологи нашли способ эффективно выращивать насекомых-защитников растений в лаборатории
04 декабря, 13:43
Алгоритм помог разработать перспективные материалы для защиты от лазерного излучения
03 декабря, 13:21
Ученые с 87% точностью диагностировали опухоли головного мозга по свечению тканей
03 декабря, 11:08
Ученые предложили новый метод оценки загрязнения пляжей пластиком
02 декабря, 17:27
Новые штаммы микроводоросли Bracteacoccus minor станут перспективным источником антиоксидантов
01 декабря, 20:48
V Конгресс молодых ученых объединил более 8 тысяч участников
01 декабря, 16:21
Сухие электроды из углеродных нанотрубок и графена помогут точнее считывать сигналы ЭКГ
28 ноября, 14:00
В Москве состоится XII Конгресс «Инновационная практика: наука плюс бизнес»
27 ноября, 15:39
Раздельная эволюция байкальских рачков не позволила им скрещиваться
27 ноября, 12:47
Накопление жира в печени оказалось связано с изменением скелетных мышц
27 ноября, 12:46
«Наука в лицах» завершит сезон на V Конгрессе молодых ученых
26 ноября, 18:05
Кормовая добавка из нитчатой водоросли в рационе птиц поможет бороться с дефицитом йода у людей
26 ноября, 18:00
Новая онлайн-платформа предскажет свойства органических красителей быстрее и точнее аналогов
26 ноября, 13:16
Побочный эффект: антидепрессант «ударил» по яичникам мышей «в обход» мозга
25 ноября, 11:51
Химики впервые получили устойчивые к воздуху и влаге металлоорганические соединения редкоземельных металлов
24 ноября, 15:09
На новгородской иконе XVI века обнаружен необычный гриб, разрушающий произведение искусства
24 ноября, 12:48
«Битва роботов» возвращается: финал мирового чемпионата по боевой робототехнике пройдет в кинопарке «Москино»
22 ноября, 11:12
Описан механизм защиты клеток от гибели при сахарном диабете и неалкогольной жировой болезни печени
21 ноября, 12:39
Осадочная летопись катастроф: ученые представили новые датировки мегапаводков на территории Сибири
21 ноября, 12:34
Форум будущих технологий пройдет 26–27 февраля 2026 года в Москве
20 ноября, 17:10
Новый алгоритм позволит предсказать еще не известные белки-мишени для лечения болезни Альцгеймера
20 ноября, 11:25
Обработка ниобием в семь раз повысила устойчивость многокомпонентного сплава к химическому разрушению
20 ноября, 11:23
В музее «АТОМ» наградили победителей всероссийской просветительской викторины «История будущего»
20 ноября, 11:20
В дискуссионную программу V Конгресса молодых ученых войдут более 170 мероприятий
19 ноября, 12:09
Первая
639 из 655
Последняя